1 / 4

치아 예방관리의 새로운 패러다임 - 디아트 테라피

D’art therapy

디지털아트치과 예방클리닉 [치주과 예방과] 

치아건강의 중요성을 아는 당신을 위해 
받을 수록 가치가 높아지는 치료를 선사합니다.

D'art therapy

치주질환 또는
임플란트 주위염으로 
고민하고 계신가요?


치주질환, 임플란트 주위염은 한번 생기면 쉽게 사라지지 않는 만성질환 입니다. 열심히 관리를 해도 반복된다면, 이제는 전문가의 도움이 필요할 때입니다. 당신의 구강건강, 근본적인 해결이 필요합니다. 

예방은 치료보다
더 정교해야 합니다


디지털아트치과 예방 클리닉은 환자 한 분 한 분의 구강 상태를 세심히 파악하고, 체계적인 관리 프로그램으로 근본적인 해결책을 제시합니다. 디아트 테라피는 단순한  '치료'를 넘어서, 삶의 질을 회복하는 여정입니다.

반복된 치료에 지친 저에게 … 

디아트 테라피'는 

마지막 기회'였습니다.

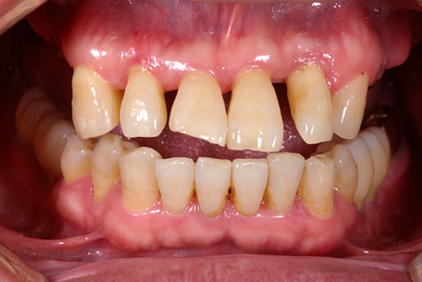
풍치가 심해 정말 많은 치과를 갔고 타 치과에서 발치 후 전체임플란트를 해야 한다고 했어요.디아트 테라피를 받으면서 아직까지 발치하지 않고 제 치아로 잘 지내고 있어요.

-이○○님 인터뷰 中

D'art therapy

하나라도 해당된다면

디아트 테라피를 
받으셔야 합니다

잇몸병으로 치아가 흔들려서 발치를 하신 분

임플란트 주위염으로 잇몸이 붓거나 피가 나는 분

충치가 재발하여 치료로 고통받으신 분

구취로 인한 고민으로 편하게 대화하기 어려우신 분

풍치 가족력이 걱정이신 분

100세에도 마음껏 식사하고 건강한 생활을 즐기고 싶으신 분

D'art therapy

디아트 테라피'는 

마지막 기회'였습니다.

입 속 유해균은 풍치와 충치의 주범이며, 잇몸 혈관을 통해 당뇨, 치매, 폐렴 등 전신질환으로 번질 수 있습니다.

입안사진

이미지 클릭

치면착색검사

입속 유해균
입속 유해균

D'art therapy

발치의 시작은

치주질환

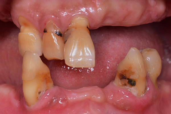
풍치(치주질환)는 진행성·재발성 구강질환입니다. 감기만큼 흔한 치주질환, 방치 시 결국 발치까지 이어질 수 있습니다.

1단계. 건강한 잇몸

   연분홍빛으로 탄탄하고 매끄러움 
   양치할 때 피가 나지 않음 
    입냄새 없음 
   치아가 흔들림 없이 단단히 고정됨

2단계. 초기 치은염

✔   양치할 때 잇몸에서 피가 남 
✔   잇몸이 부을 때가 있음 
✔   치석이 눈에 띄기 시작함 
✔   간헐적인 입냄새 발생 

3단계. 중등도 치주염

✔   잇몸이 지속적으로 붓고 피가 남 
✔   찬물 마실 때 시림 증상 동반 
✔   입냄새가 일상적으로 느껴짐 
✔   염증이 치조골까지 진행됨

4단계. 말기 치주염

✔   치아가 흔들리는 것이 느껴짐 
✔   씹을 때 통증이 심하거나 ,
      음식을 씹기 어려움 
✔   잇몸이 내려가 치아 뿌리가 노출됨 
✔   치아 발치 가능성 매우 높음 

D'art therapy

치주질환,그대로 
방치한다면

잇몸뼈까지 소실됩니

치주질환을 방치하면 뼈가 녹아내리며, 결국 발치에 이르게 됩니다. 잇몸이 무너진 후 치료는 더욱 어렵습니다.


잇몸이 붉지 않고, 연분홍빛을 띠며 단단하게 치아를 감싸고 있습니다. 엑스레이 에서는 치아 뿌리를 따라 잇몸뼈가 치아 경계선 바로 아래까지 촘촘하게 유지되 고 있습니다.



겉으로 보기에도 치석과 염증이 심하며, 잇몸이 심하게 붓고 내려앉아 있습니다. 엑스레이에서는 뿌리의 절반 이상이 드러날 정도로 잇몸뼈가 심각하게 소실되어 있습니다.

발치를 막고 잇몸을 보호하는 
자연치아를 유지하기 위한 마지막 선택

디아트 테라피는

잇몸을 살립니다

자연치아를 지키기 위한 최선의 예방관리. 치아와 잇몸을 동시에 보호하고, 자연치아를 지킬 수 있는 토탈 솔루션입니다.

D'art therapy


디아트 테라피, 

실제로 받아보니
어땠나요?

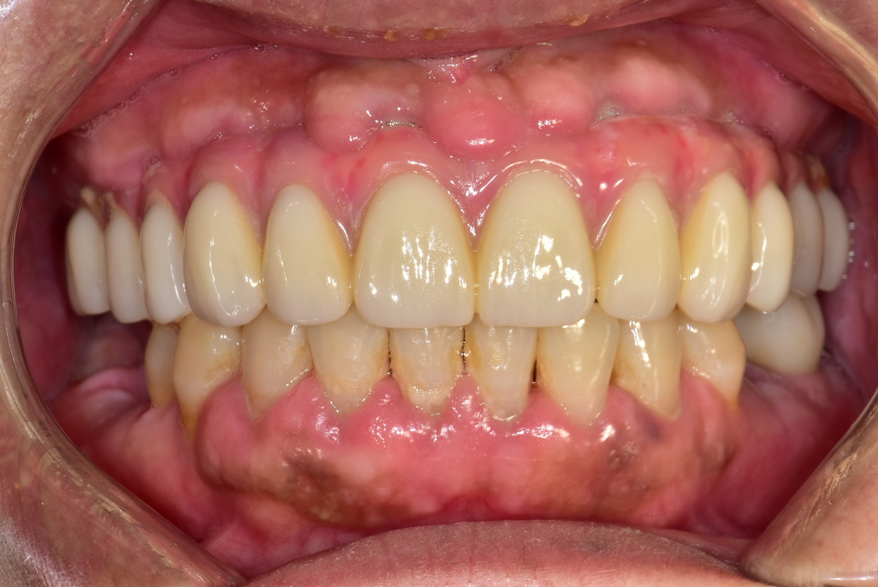
풍치가 심해 정말 많은 치과를 갔고 타 치과에서 발치 후 전체임플란트를 해야 한다고 했어요. "디아트 테라피를 받고, 발치하지 않고 제 치아로 잘 지내고 있어요."


-이○○님 인터뷰 中


풍치가 심해 정말 많은 치과를 갔고 타 치과에서 발치 후 전체임플란트를 해야 한다고 했어요. "디아트 테라피를 받고, 발치하지 않고 제 치아로 잘 지내고 있어요."


-이○○님 인터뷰 中

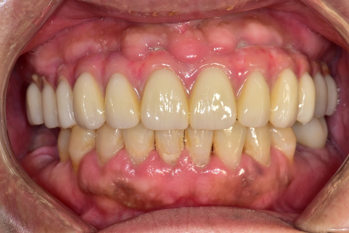
D'art therapy

임플란트가 오랫동안 
머물 수 있도록

한 번 잃어본 사람은 알죠. 지키지 못한 것이 얼마나 후회되는지..
디아트 테라피는 전체임플란트를 오랫동안 지키기 위한 
'두 번째 보험'입니다.

D'art therapy

한 번 심은 임플란트, 평생 쓸 수 있을까요?

해답은 '관리'에 있습니다

치주질환을 방치하면 뼈가 녹아내리며, 결국 발치에 이르게 됩니다. 잇몸이 무너진 후 치료는 더욱 어렵습니다.

SPECIAL SYSTEM


전체임플란트를 받은 많은 분들이 이렇게 말씀하십니다. 

"오래 쓰고 싶은데, 어떻게 관리해야 하나요?" 
정답은 간단합니다. 

임플란트에 가중되는 물리적인 힘(교합력)을 조절하고, 지속적으로 임플란트 주위염을 모니터링하면서, 전문가의 테크닉으로 그 원인을 안전하게 제거해야만, 전체 임플란트를 10년, 20년, 그리고 평생을 안정적으로 유지할 수 있습니다. 

임플란트를 평생 지키기 위한, 단 하나의 선택 

디아트 테라피로

임플란트 주위염을
예방합니다

임플란트를 오래 쓰기 위한 최선의 예방관리, 잇몸을 보호하고, 임플란트를 지킬 수 있는 맞춤형 솔루션입니다. 

디아트 테라피는
이렇게 진행됩니다

치아 예방관리의 새로운 패러다임 - 디아트 테라피

D’art therapy

디지털아트치과 예방클리닉 [치주과 예방과]


치아건강의 중요성을 아는 당신을 위해

받을 수록 가치가 높아지는 치료를 선사합니다.

 

0

치주질환 또는 임플란트 주위염으로

고민하고 계신가요?



치주질환, 임플란트 주위염은 한번 생기면 쉽게 사라지지 않는 만성질환 입니다. 
열심히 관리를 해도 반복된다면, 이제는 전문가의 도움이 필요할 때입니다.
당신의 구강건강, 근본적인 해결이 필요합니다. 

예방은 치료보다 더 정교해야 합니다 


디지털아트치과 예방 클리닉은 환자 한 분 한 분의 구강 상태를 세심히 파악하고,
체계적인 관리 프로그램으로 근본적인 해결책을 제시합니다.


디아트 테라피는 단순한 '치료' 를 넘어서, 삶의 질을 회복하는 여정입니다.

반복된 치료에 지친 저에게 …

'디아트 테라피'는 마지막 기회'였습니다.

풍치가 심해 정말 많은 치과를 갔고 타 치과에서

발치 후 전체임플란트를 해야 한다고 했어요.

“디아트 테라피를 받고, 발치하지 않고 제 치아로 잘 지내고 있어요.”


- 이○○ 님 인터뷰 中  

D'art therapy 


하나라도 해당된다면

디아트 테라피를 받으셔야 합니다

잇몸병으로 치아가 흔들려서 발치를 하신 분 

임플란트 주위염으로 잇몸이 붓거나 피가 나는 분 

충치가 재발하여 치료로 고통받으신 분 

구취로 인한 고민으로 편하게 대화하기 어려우신 분 

풍치 가족력이 걱정이신 분 

100세에도 마음껏 식사하고 건강한 생활을 즐기고 싶으신 분 

D'art therapy


매일 칫솔질을 해도, 세균은 남아있습니다

입 속 유해균은 풍치와 충치의 주범이며,
잇몸 혈관을 통해 당뇨, 치매, 폐렴 등 전신질환으로 번질 수 있습니다.

입안사진

입속유해균
마우스를 올려주세요

치면착색검사

D'art therapy

디아트 예방센터 의료진

치아소실 미리 막을 수 있습니다

디아트 테라피 사례

D'art therapy


발치의 시작은 치주질환


풍치(치주질환)는 진행성·재발성 구강질환입니다.
감기만큼 흔한 치주질환, 방치 시 결국 발치까지 이어질 수 있습니다.

연분홍빛으로 탄탄하고 매끄러움

양치할 때 피가 나지 않음

입냄새 없음

치아가 흔들림 없이 단단히 고정됨

양치할 때 잇몸에서 피가 남
잇몸이 부을 때가 있음
치석이 눈에 띄기 시작함
간헐적인 입냄새 발생 

잇몸이 지속적으로 붓고 피가 남 

찬물 마실 때 시림 증상 동반

입냄새가 일상적으로 느껴짐

염증이 치조골까지 진행됨

치아가 흔들리는 것이 느껴짐 

씹을 때 통증이 심하거나 음식을 씹기 어려움

잇몸이 내려가 치아 뿌리가 노출됨

치아 발치 가능성 매우 높음 

치주질환 그대로 방치한다면

잇몸뼈까지 소실됩니다

치주질환을 방치하면 뼈가 녹아내리며, 결국 발치에 이르게 됩니다.
잇몸이 무너진 후 치료는 더욱 어렵습니다.

잇몸이 붉지 않고, 연분홍빛을 띠며 단단하게 치아를 감싸고 있습니다. 엑스레이에서는 치아 뿌리를 따라 잇몸뼈가 치아 경계선 바로 아래까지 촘촘하게 유지되고 있습니다.
잇몸이 붉지 않고, 연분홍빛을 띠며 단단하게 치아를 감싸고 있습니다. 엑스레이에서는 치아 뿌리를 따라 잇몸뼈가 치아 경계선 바로 아래까지 촘촘하게 유지되고 있습니다.
겉으로 보기에도 치석과 염증이 심하며, 잇몸이 심하게 붓고 내려앉아 있습니다. 엑스레이에서는 뿌리의 절반 이상이 드러날 정도로 잇몸뼈가 심각하게 소실되어 있습니다.
겉으로 보기에도 치석과 염증이 심하며, 잇몸이 심하게 붓고 내려앉아 있습니다. 엑스레이에서는 뿌리의 절반 이상이 드러날 정도로 잇몸뼈가 심각하게 소실되어 있습니다.

발치를 막고 잇몸을 보호하는  자연치아를 살리기 위한 마지막 선택

디아트 테라피는 잇몸을 살립니다

자연치아를 지키기 위한 최선의 예방관리.
치아와 잇몸을 동시에 보호하고, 자연치아를 지킬 수 있는 토탈 솔루션입니다.

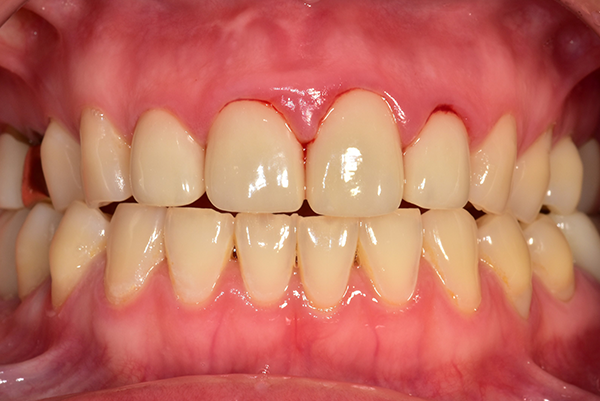
디아트 테라피, 실제로 받아보니 어땠나요?

예방관리 받고 나서 잇몸도 좋아지고, 

웃을 때 더 예뻐진 것 같아요. 처음엔 "굳이 해야 돼?" 싶었지만, 

비싸게 심은 임플란트 관리 못 하면 더 손해라는 걸 알았죠. 

“진짜 하늘을 나는 기분이었어요. 고맙단 말밖에 안 나와요.”


- 이○○ 님 인터뷰 中  

치아가 많이 안 좋아서 1년 새 임플란트를 8개나 했어요. 
힘들게 심은 만큼, 오래 쓰고 싶었죠. 
스케일링은 무서워서 피했는데 여긴 아프지도 않고 
편하게 케어해줘서 받고 나면 입안이 개운해요. 
“이제야 제대로 관리받는 느낌이에요. 앞으로도 꾸준히 받을 생각입니다.”


- 이○○ 님 인터뷰 中  

전체임플란트는 끝이 아니라, 새로운 시작입니다.

임플란트가 오랫동안

머물 수 있도록


한 번 잃어본 사람은 알죠. 지키지 못한 것이 얼마나 후회되는지..

디아트 테라피는 전체임플란트를 오랫동안 지키기 위한 '두 번째 보험' 입니다. 


한 번 심은 임플란트, 평생 쓸 수 있을까요?

해답은 ‘관리’에 있습니다

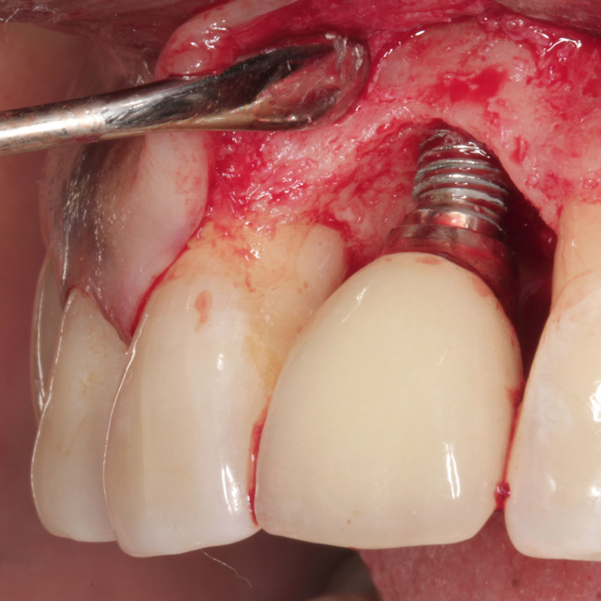
임플란트 주위염은 통증 없이 진행되다가, 어느 날 갑자기 임플란트가 흔들리며 발견되는 경우가 많습니다.
특히 전체임플란트처럼 여러 개의 식립체가 서로 구조적으로 연결되어 있는 경우, 염증이 하나에서 시작되어 연쇄적으로 확산될 수 있습니다.


Special System



전체임플란트를 받은 많은 분들이 이렇게 말씀하십니다.


“오래 쓰고 싶은데, 어떻게 관리해야 하나요?”

정답은 간단합니다.

 

임플란트에 가중되는 물리적인 힘(교합력)을 조절하고,
지속적으로 임플란트 주위염을 모니터링하면서,
전문가의 테크닉으로 그 원인을 안전하게 제거해야만,
전체 임플란트를 10년, 20년, 그리고 평생을 안정적으로 유지할 수 있습니다.

임플란트를 평생 지키기 위한, 단 하나의 선택 

디아트 테라피로 임플란트 주위염을 예방합니다

임플란트를 오래 쓰기 위한 최선의 예방관리,
잇몸을 보호하고, 임플란트를 지킬 수 있는 맞춤형 솔루션입니다. 

디아트 테라피는 이렇게 진행됩니다

DIGITAL ART DENTAL CLINIC

디아트 예방센터 료진

치아소실 미리 막을 수 있습니다

디아트 테라피 사례

D'art therapy

디아트 테라피 치료후기

예방 전문가가 가장 빠르고 정확한 답변을 드리겠습니다.

무엇이든 물어보세요

실제 디아트 테라피를 이용한 환자분들의

디아트 테라피 치료후기

예방 전문가가 가장 빠르고 정확한 답변을 드리겠습니다. 

디아트 테라피, 경험해보고 싶다면?

디지털아트치과

051-515-8267

부산광역시 부산진구 부전로 79, 동아빌 1~3층(부전동, 동아빌) | 사업자등록번호: 221-15-15064

*2026년 1월 1일 부터 토요일은 점심시간 없이 오전 10:00 - 오후 14:00 까지 진료합니다

료시간


  평일  오전 10시 - 오후 6시
  토요일 오전 10시 - 오후 2시 ( 점심시간 없음)
  점심시간  평일 오후 1시 - 2시
  공휴일
  공휴일, 임시 공휴일 휴진



 Copyright © DigitalArtDentalClinic.All right reserved.

051-515-8267

진료안내

월-금

토요일

점심시간

일 요 일


오전 10:00 - 오후 18:00

오전10:00-오후14:00 (점심시간 없음)

오전 13:00 - 오후 14:00

정기휴무 ( 매주 일요일 )

*2026년 1월 1일 부로 토요일은 점심시간 없이 오전 10:00-오후 14:00  까지 진료합니다

  부산광역시 진구 부전로 79, 동아빌딩 1-3층(부전동,동아빌딩) 
  사업자등록번호 221-15-15064  |  상호명 : 디지털아트치과

  Copyright © DigitalArtDentalClinic.All right reserved.

월-토
진료
상담예약 아이콘 실시간예약 네이버예약 아이콘 네이버예약 전화문의 아이콘 진료문의 전화문의 아이콘 유투브 TOP ▲