1 / 4

미카엘라 리베로

한국에서 티비방송과 패션모델로 활동 후

배우의 꿈을 도전하기 위해

할리우드로 진출했습니다.

@mikaelarivero_

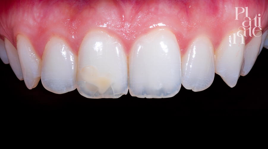
변색과 얼룩으로 인해 웃을 때마다 아쉬움이 남았던 치아.
그 고민을 해결하기 위해 내원하셨고, 플래티네이트를 통해 
앞니 4개를 개선하였습니다.


그 결과, 더욱 맑고 깔끔한 색감, 정제된 라인, 그리고 시원한 비율감이 살아 있는 세련된 치아의 조형미를 완성할 수 있었습니다.

신스라미는 단순히 치아의 모양과 색상을 아름답게 바꿔주는 데 그치지 않습니다. 치아를 보호하는 기능까지 더해져, 이전에 불편을 주던 시림 증상까지 개선되었다고 합니다.

플래티네이트

플래티네이트는 단순한 시술이 아니라 예술적인 작품에 가까운 경험, 고급스럽고 품격있는 자신을 완성시키는 방법 이기도 합니다.

미카엘라 리베로


한국에서 티비방송과 패션모델로 활동 후

배우의 꿈을 도전하기 위해

할리우드로 진출했습니다.


@mikaelarivero_

변색과 얼룩으로 인해 웃을 때마다 아쉬움이 남았던 치아.
그 고민을 해결하기 위해 내원하셨고, 플래티네이트를 통해 

앞니 4개를 개선하였습니다.


그 결과, 더욱 맑고 깔끔한 색감, 정제된 라인, 그리고 시원한 비율감이 살아 있는 세련된 치아의 조형미를 완성할 수 있었습니다.

신스라미는 단순히 치아의 모양과 색상을 아름답게 바꿔주는 데 그치지 않습니다.
치아를 보호하는 기능까지 더해져, 

이전에 불편을 주던 시림 증상까지 개선되었다고 합니다.



플래티네이트


플래티네이트는 단순한 시술이 아니라, 예술적 작품에 가까운 경험.

미소라는 가장 개인적인 무대에서, 고급스럽고 품격있는 자신을 완성하는 방법이기도 합니다.

디지털아트치과

051-515-8267

부산광역시 부산진구 부전로 79, 동아빌 1~3층(부전동, 동아빌) | 사업자등록번호: 221-15-15064

*2026년 1월 1일 부터 토요일은 점심시간 없이 오전 10:00 - 오후 14:00 까지 진료합니다

료시간


  평일  오전 10시 - 오후 6시
  토요일 오전 10시 - 오후 2시 ( 점심시간 없음)
  점심시간  평일 오후 1시 - 2시
  공휴일
  공휴일, 임시 공휴일 휴진



 Copyright © DigitalArtDentalClinic.All right reserved.

051-515-8267

진료안내

월-금

토요일

점심시간

일 요 일


오전 10:00 - 오후 18:00

오전10:00-오후14:00 (점심시간 없음)

오전 13:00 - 오후 14:00

정기휴무 ( 매주 일요일 )

*2026년 1월 1일 부로 토요일은 점심시간 없이 오전 10:00-오후 14:00  까지 진료합니다

  부산광역시 진구 부전로 79, 동아빌딩 1-3층(부전동,동아빌딩) 
  사업자등록번호 221-15-15064  |  상호명 : 디지털아트치과

  Copyright © DigitalArtDentalClinic.All right reserved.

월-토
진료
상담예약 아이콘 실시간예약 네이버예약 아이콘 네이버예약 전화문의 아이콘 진료문의 전화문의 아이콘 유투브 TOP ▲